עמוד הבית » סגירת רווחים בין השיניים עם ציפויי חרסינה
ד”ר גלעד פיסקוס – המומחיות והניסיון שיבטיחו תוצאה מושלמת לחיוך מנצח בריא , טבעי ולבן .
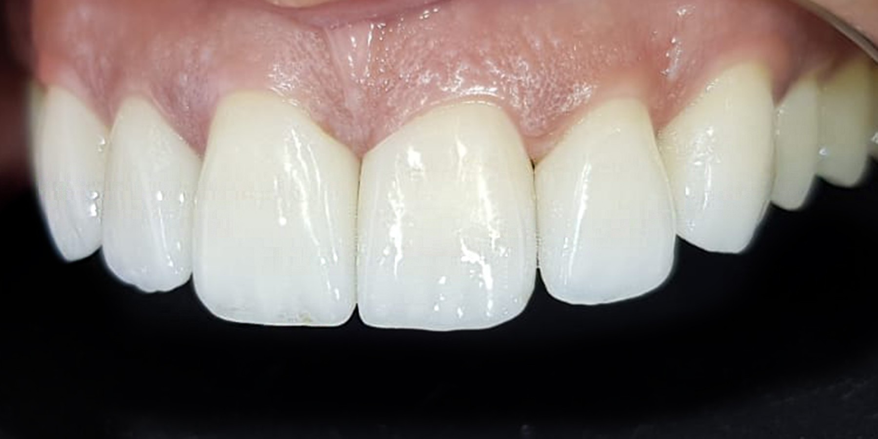
ציפויי Emax עשויים חרסינה איכותית וחזקה במיוחד, ומוכרים בזכות השקיפות והברק הטבעיים שלהם, שמאפשרים מראה אסתטי ומשתלב באופן הרמוני עם השיניים הקיימות. חרסינה מסוג Emax היא עמידה בפני שחיקה וכתמים, מה שהופך אותה לפתרון מצוין לטווח ארוך ולמראה טבעי במיוחד.
1. מראה טבעי ואסתטי – בזכות השקיפות והברק הטבעיים, הציפויים מספקים תוצאה מדויקת למראה שיניים בריא וטבעי.
2. עמידות לאורך זמן – הציפויים עמידים בפני שחיקה וכתמים, ושומרים על מראהם המקורי במשך שנים רבות.
3. תהליך מהיר ונוח – במרפאתו של ד”ר פיסקוס, ניתן ליהנות מתהליך מהיר ואיכותי בזכות המעבדה הממוקמת במקום, כך שכל ציפוי נעשה בהתאמה אישית ומדויקת.
4. דיוק והתאמה – הודות לטכנאים המנוסים שעובדים לפי הנחיותיו של ד”ר פיסקוס, מתקבלת התאמה מושלמת ומדויקת, המבטיחה תוצאה אסתטית בריאה ומהירה .
5.ד״ר גלעד פיסקוס עובד עם דבק דור 4 הדבק החזק בעולם ובזכות כך אפשר לאכול הכל אפילו תפוחים וסטייקים.
6.עיצוב קו החניכיים מאד חשוב קו החניכיים שיהיה אחיד ,מושלם וכמובן בריא . ד״ר גלעד פיסקוס עם הנסיון הרב שלו והשתלמויות הרבות שלו בנושא ״עיצוב קו החניכיים ״ עושה זאת כחלק מעבודתו.
מבחינתו חניכיים ושיניים זה אחד ואסור לנו להתעלם מהחניכיים
כמו בכל טיפול אסתטי, גם בציפויי חרסינה קיימים חסרונות שיש לקחת בחשבון:
• עלות – הטיפול עשוי להיות יקר יחסית, אך ההשקעה מבטיחה תוצאה איכותית ועמידה לאורך זמן.
• דורש תחזוקה – כמו כל טיפול אסתטי, יש לשמור על היגיינה ותחזוקה של השיניים והחניכיים כדי לשמור על תוצאות מיטביות לאורך זמן.
למי מתאים הטיפול?
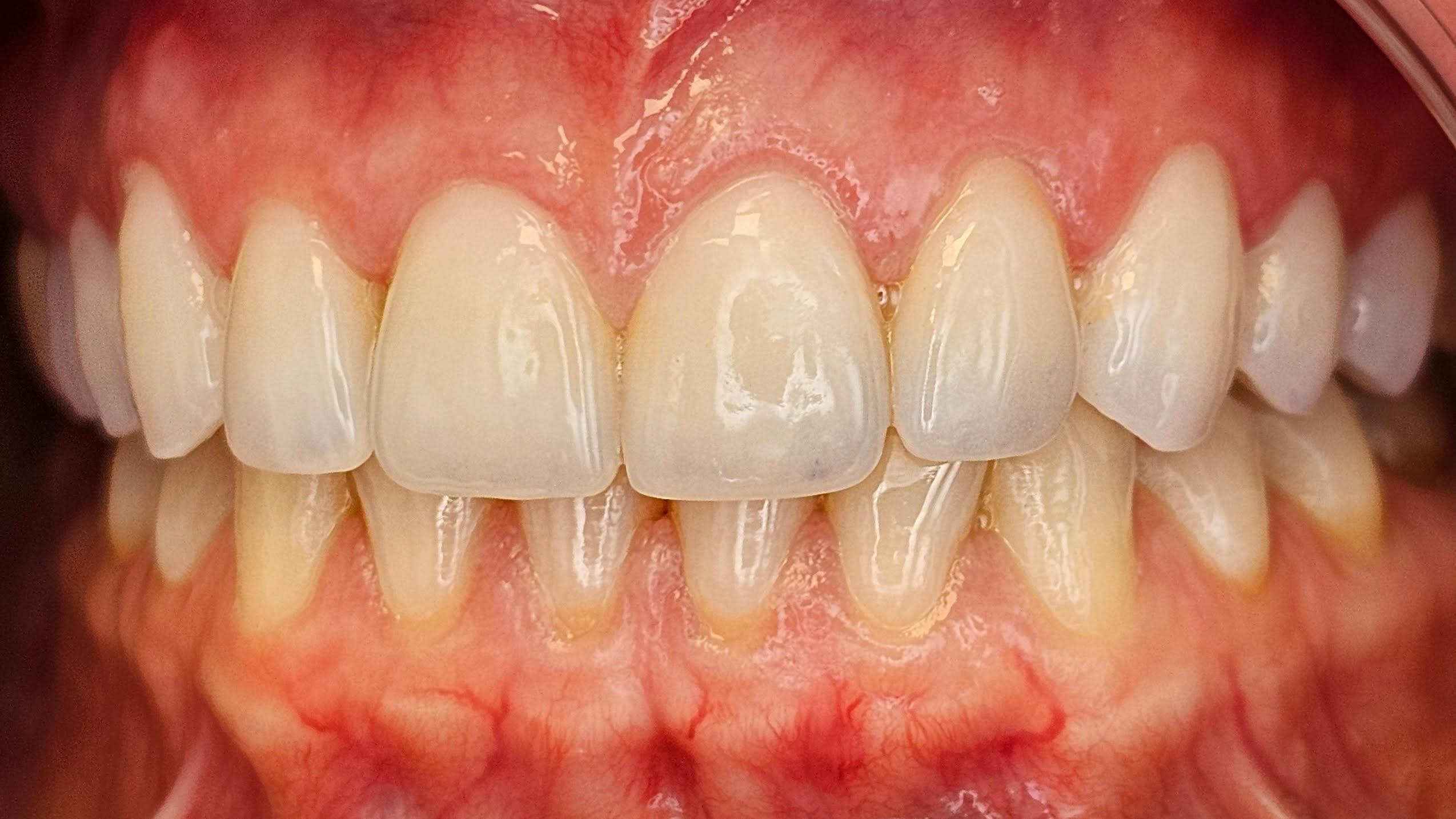
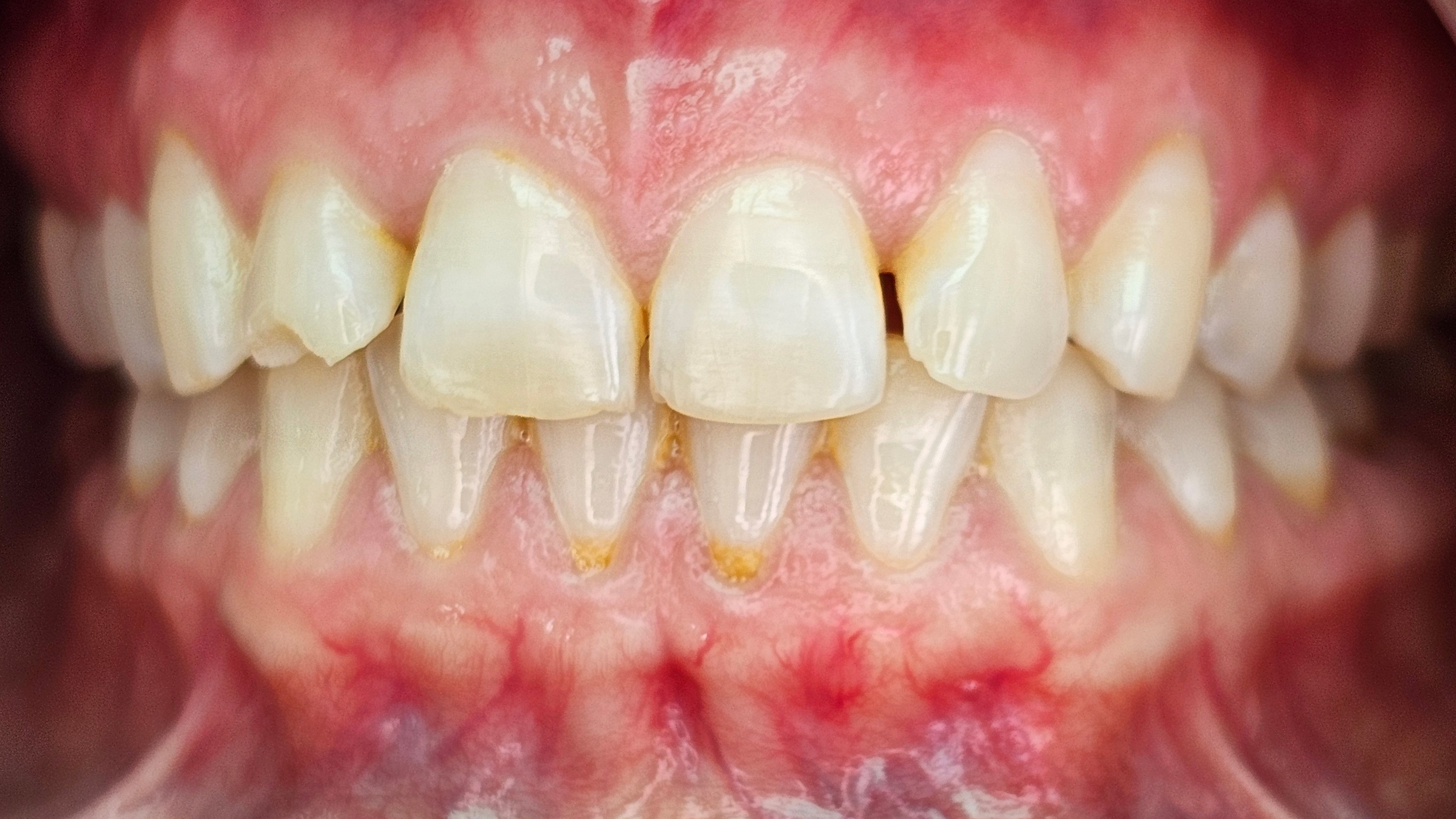
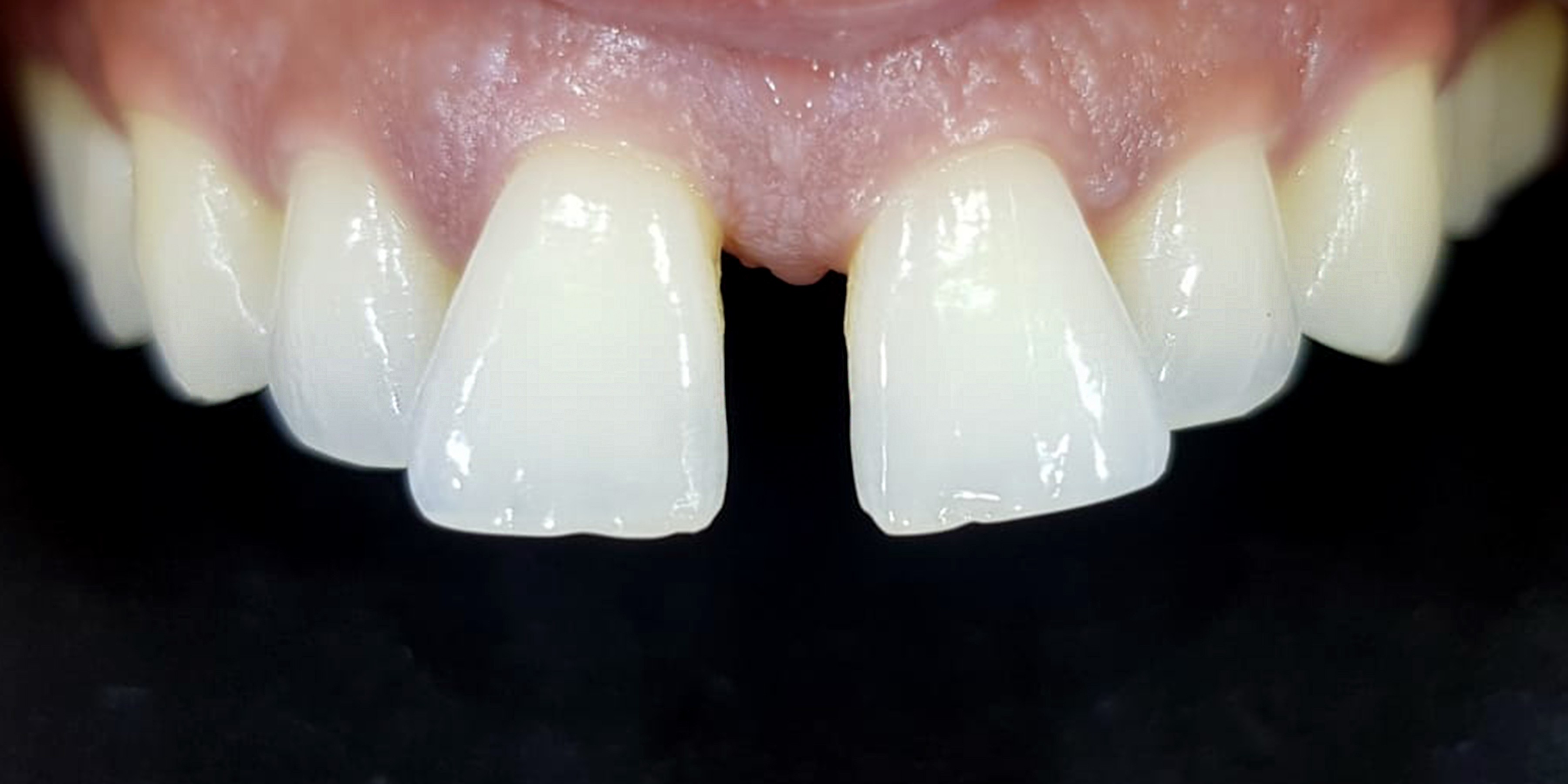
סגירת רווחים עם ציפויי חרסינה Emax מתאימה לכל מי שסובל מרווחים קלים עד בינוניים בין השיניים, עיוותים או שיניים שאינן שוות בגודלן ובצורתן. טיפול זה מתאים במיוחד למי שמעוניין במראה טבעי ואסתטי, עם מינימום תחזוקה ומקסימום עמידות.
אם אתם מעוניינים לשפר את מראה החיוך שלכם, אתם מוזמנים לפנות למרפאתו של ד”ר גלעד פיסקוס ולהתייעץ על האפשרות של סגירת רווחים בעזרת ציפויי חרסינה. ד”ר פיסקוס מציע מקצועיות ברמה הגבוהה ביותר, ניסיון רב ויחס אישי ואדיב לכל מטופל.
ההבדל בין ציפויי חרסינה לציפוי השלמה של קומפוזיט /קריסטל.
ד”ר גלעד פיסקוס הינו בוגר הפקולטה לרפואת שיניים של האוניברסיטה העברית הדסה ירושלים, משנת 1989. את התואר הראשון במדעי הרפואה סיים בהצטיינות ועל עבודת הגמר לתואר ד”ר ברפואת שיניים זכה בציון לשבח. הוא חבר בהסתדרות לרפואת שיניים, ועובד במרפאתו הפרטית בראשון לציון.
ד”ר גלעד עוסק בכל תחומי רפואת השיניים הכללית בדגש עיקרי על אמנות האסתטיקה הדנטלית. במשך יותר מ 30 שנה מאז סיים את לימודיו, הוא השתתף בעשרות כנסים בארץ ובחו”ל.
ביניהם כנסים רבים של האקדמיה האירופית לאסתטיקה דנטלית EAED , השתלמות בבניית שיניים קדמיות אצל פרופסור Lorenzo Vanini בצפון איטליה, ולימודי המשך בחברת השתלים Zimmer משוויץ. בשנת 2009 ד”ר גלעד נבחר יחד עם עוד 3 קולגות להשתתף בהשתלמות השנתית הראשונה לאסתטיקה דנטלית, שנפתחה בהדסה עין כרם.




ד”ר גלעד פיסקוס הינו בוגר הפקולטה לרפואת שיניים של האוניברסיטה העברית הדסה ירושלים, משנת 1989. את התואר הראשון במדעי הרפואה סיים בהצטיינות ועל עבודת הגמר לתואר ד”ר ברפואת שיניים זכה בציון לשבח. הוא חבר בהסתדרות לרפואת שיניים, ועובד במרפאתו הפרטית בראשון לציון.
ד”ר גלעד עוסק בכל תחומי רפואת השיניים הכללית בדגש עיקרי על אמנות האסתטיקה הדנטלית. במשך יותר מ 30 שנה מאז סיים את לימודיו, הוא השתתף בעשרות כנסים בארץ ובחו”ל.
ביניהם כנסים רבים של האקדמיה האירופית לאסתטיקה דנטלית EAED , השתלמות בבניית שיניים קדמיות אצל פרופסור Lorenzo Vanini בצפון איטליה, ולימודי המשך בחברת השתלים Zimmer משוויץ. בשנת 2009 ד”ר גלעד נבחר יחד עם עוד 3 קולגות להשתתף בהשתלמות השנתית הראשונה לאסתטיקה דנטלית, שנפתחה בהדסה עין כרם