שימוש בחומרי קומפוזיט בתחום רפואת השיניים נחשב לאחת השיטות הנפוצות ביותר לשיפור אסתטיקת הפה.
קומפוזיט הוא חומר סינתטי, למעשה זה החומר שעושים איתו סתימות לבנות ומאפשר ל ד״ר גלעד פיסקוס, לשחזר את המראה והצורה של השיניים הטבעיות בצורה מדויקת.
החומר מתאים במיוחד למצבים אסתטיים שונים ומאפשר לשפר את מראה החיוך תוך שמירה על בריאות השיניים ללא שיוף .
היתרונות של ד״ר גלעד פיסקוס בנושא הקומפוזיטים. -ותק נסיון ונשמה של אומן . הרי תיקון השן היא אומנות לכל דבר.
אסור שיראו הבדלים והשן צריכה להראות אחידה ויפה .
ד”ר גלעד פיסקוס למד את שיטת בניית השיניים בשכבות מפרופ’ לורנצו וניני בצפון איטליה.
השיטה מתבססת על חיקוי שכבות השן הטבעיות עם חומרי סתימה. השן הטבעית בנויה ממספר שכבות ואיזורי ביניים.
כאשר מחקים את הטבע וכל שכבה נבנית עם חומרים קומפוזיטיים הדומים בתכונות הפיסיקליות ובהחזר ומעבר האור דרכו לשן הטבעית .
כך מקבלים תוצאה מושלמת ומראה טבעי.
למי מתאים קומפוזיט מבחינה אסתטית?
קומפוזיט מתאים לשורה של בעיות אסתטיות, בהן:
1.שיניים קטנות: לשיפור המראה והגדלת השיניים כך שיתאימו לגודל הרצוי.
2.סגירת מרווחים (דיאסטמה): מילוי המרווחים בין השיניים להשגת חיוך שלם ומאוזן.
3. שיפור צבע השיניים: שיפור גוון השיניים והחזרת הלובן במקרים של שיניים מוכתמות או שינויי צבע. עדיף לעשות את ההלבנה של ד״ר גלעד פיסקוס . ההלבנה שמחזיקה לכל החיים . עם הסד הקשיח והמיוחד שהוא פיתח +ההדרכה של ד״ר גלעד פיסקוס ( ההלבנה שיהיה בכחול עם קישור להלבנה של ד״ר גלעד פיסקוס)
4.תיקון שיניים סדוקות או שבורות: שחזור שיניים שנפגעו או נסדקו לשם שמירה על מראה טבעי ואסתטי.
5.עיצוב מחדש של השיניים: עיצוב קו החיוך והענקת מראה אחיד.
מהו קומפוזיט?
קומפוזיט הוא חומר מרוכב, גמיש וחזק, העשוי מתרכובת של שרף וחלקיקי זכוכית. אחד היתרונות הבולטים של חומר זה הוא היכולת להתאים אותו לצבע השיניים הטבעיות של המטופל. הקומפוזיט משתלב בצורה מושלמת עם שאר השיניים, ולכן הוא אידיאלי לשימושים אסתטיים.
יתרונות הקומפוזיט:
תוצאה טבעית: קומפוזיט מותאם בדיוק לצבע השן, מה שמספק מראה אסתטי ומדויק.
הליך מהיר: הטיפול מתבצע בשעה אחת בלבד.
פחות פולשני: בניגוד לציפויים או כתרים, הקומפוזיט אינו דורש שיוף של השן , אינו מצריך הרדמה ומאפשר לשמור על השן הטבעית.
אפשרות לתיקון ושיפור השן:
במקרים בהם יש צורך בתיקון או שיפור, אפשר לבצע זאת בקלות.
המחיר: המחיר זול משמעותי מציפויי חרסינה.
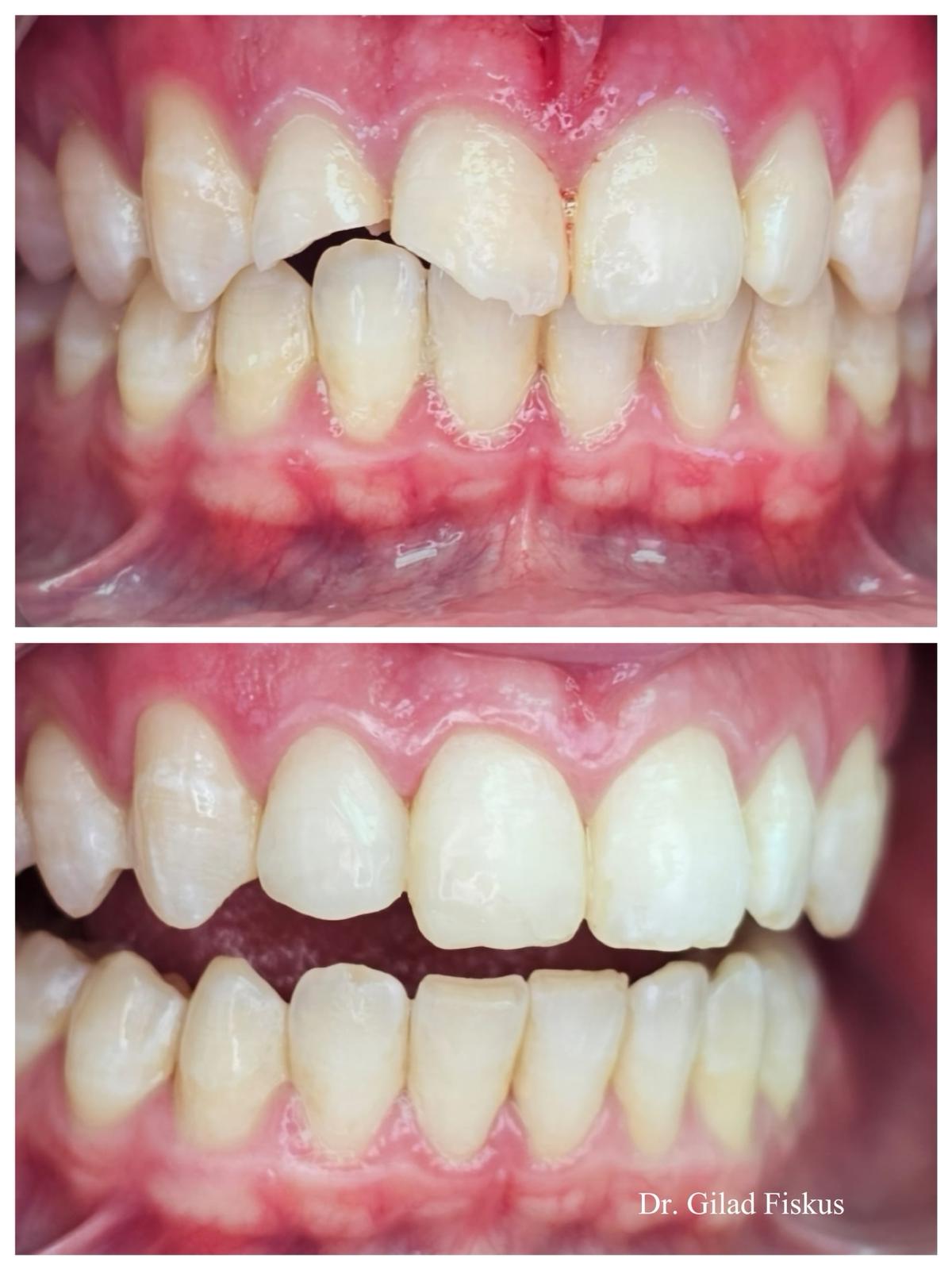
לפני ואחרי –
אחרי טיפול –
חסרונות הקומפוזיט:
עמידות לטווח ארוך: הקומפוזיט עלול להישחק עם הזמן ולהידרש תיקונים תקופתיים.
שינוי צבע אפשרי: מכיוון שמדובר בחומר סינתטי, הקומפוזיט יכול לספוג כתמים ממשקאות או מאכלים מסוימים.
פחות עמידות מציפויי חרסינה: קומפוזיט עמיד, אך לא באותה רמה כמו חרסינה Emax או כתרי זרקוניה.
לסיכום
בניית שיניים עם קומפוזיט היא פתרון מהיר, אסתטי, ולא פולשני שמספק תוצאות טבעיות ומרשימות.
היא מתאימה לשימושים רבים כגון תיקון שיניים, סגירת מרווחים, ושיפור גוון השיניים.
עם זאת, חשוב לזכור שהטיפול דורש תחזוקה תקופתית לשמירה על המראה לאורך זמן.
ד״ר גלעד פיסקוס הוא רופא שיניים מיומן עם נסיון של שנים בתחום ,
יודע להשתמש בקומפוזיט באופן שמשתלב בצורה מושלמת עם שאר השיניים של המטופל ומעניק לו חיוך יפה טבעי ובריא.
לפני-
אחרי-









