הלבנת שיניים: איך מגיעים לחיוך המושלם?
חיוך לבן וזוהר הפך לסמל סטטוס, לשדר של רעננות, יוקרה וביטחון עצמי. אנשים רבים מחפשים היום פתרונות להבהרת שיניים, ורבים מהם בוחרים במרפאתו של ד”ר גלעד פיסקוס בראשון לציון. המרפאה מציעה שלוש טכניקות להלבנת שיניים, שכל אחת מהן מותאמת לצרכים שונים. בין אם אתם מחפשים פתרון מהיר לאירוע מיוחד או שואפים להלבנה שמחזיקה לכל החיים, ד”ר פיסקוס מספק מענה יעיל, בטוח ומותאם אישית.
מדוע השיניים מאבדות מלובן הטבעי שלהן?
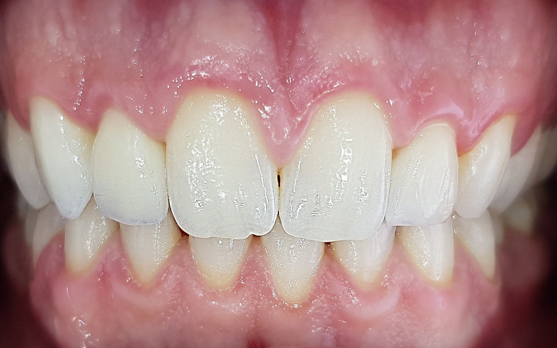
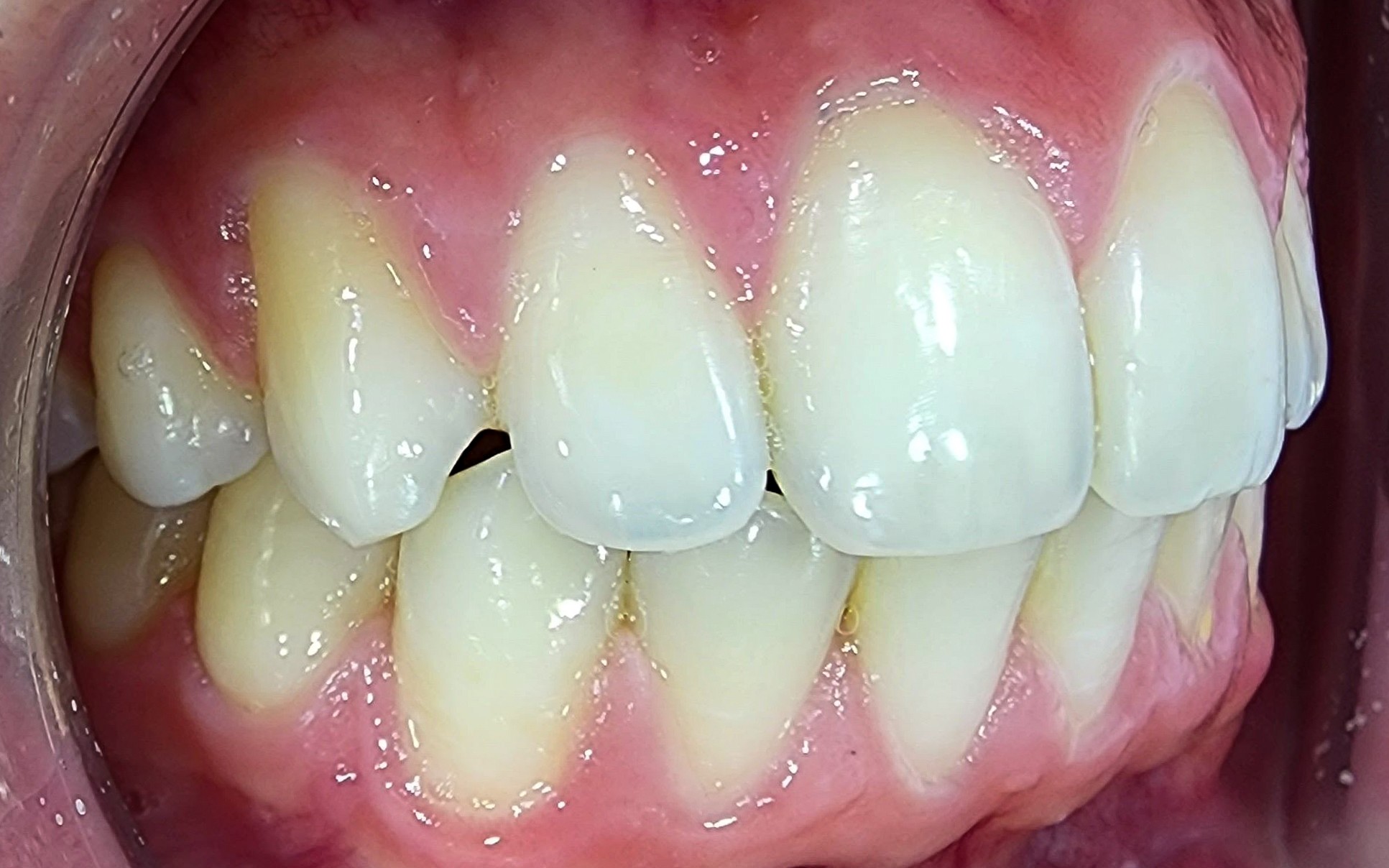
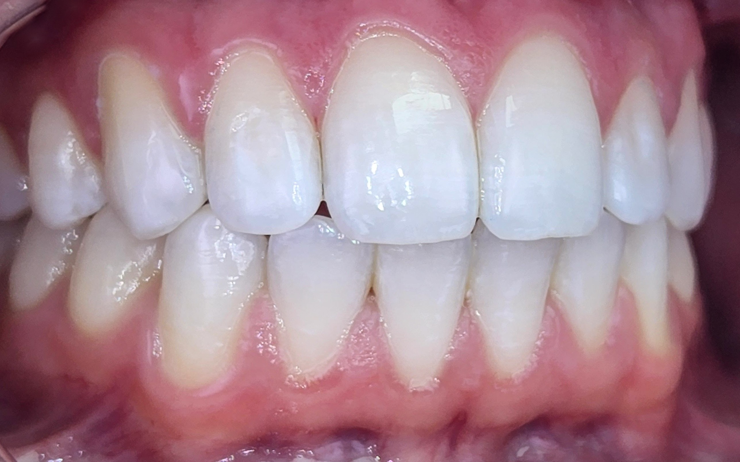
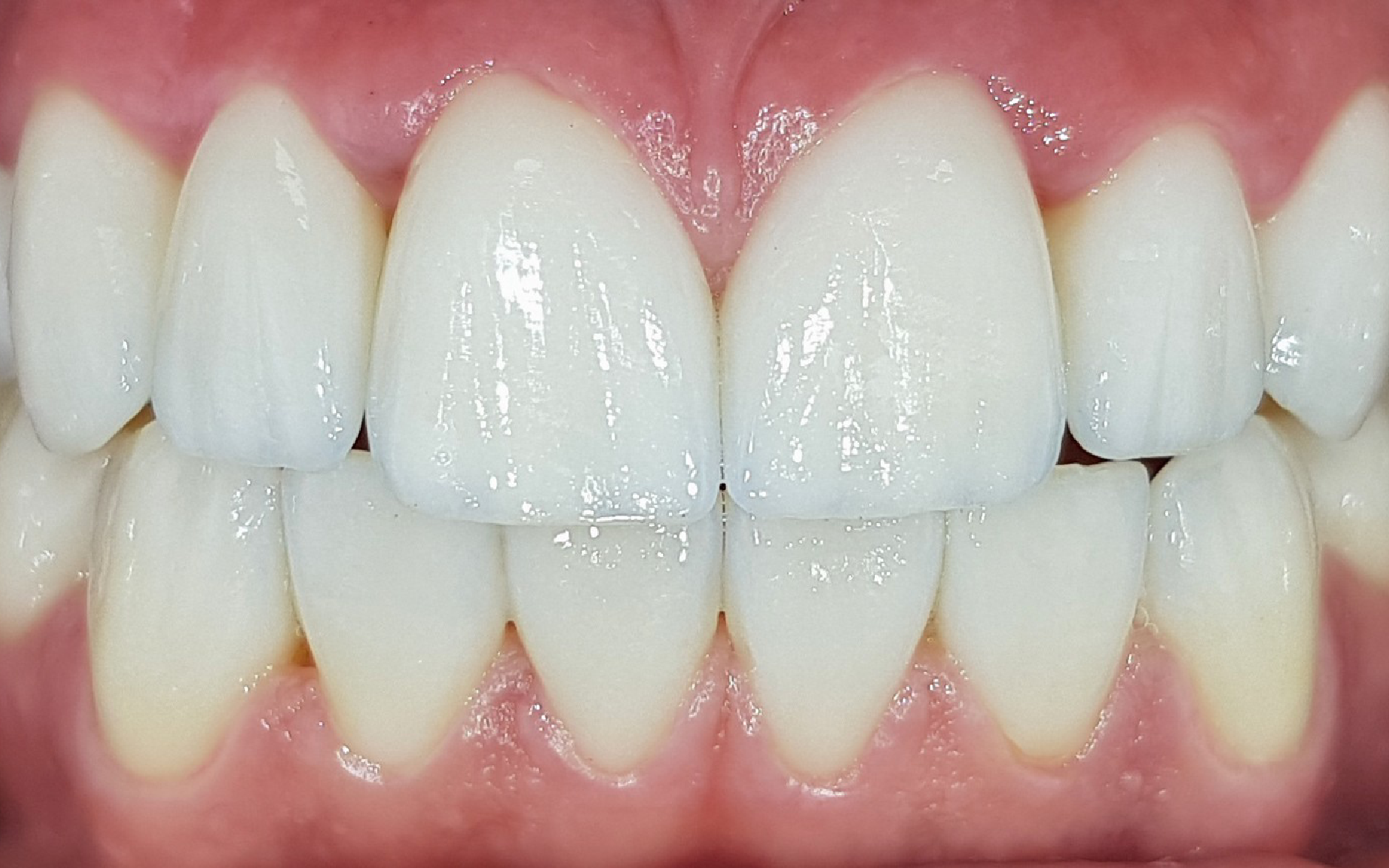
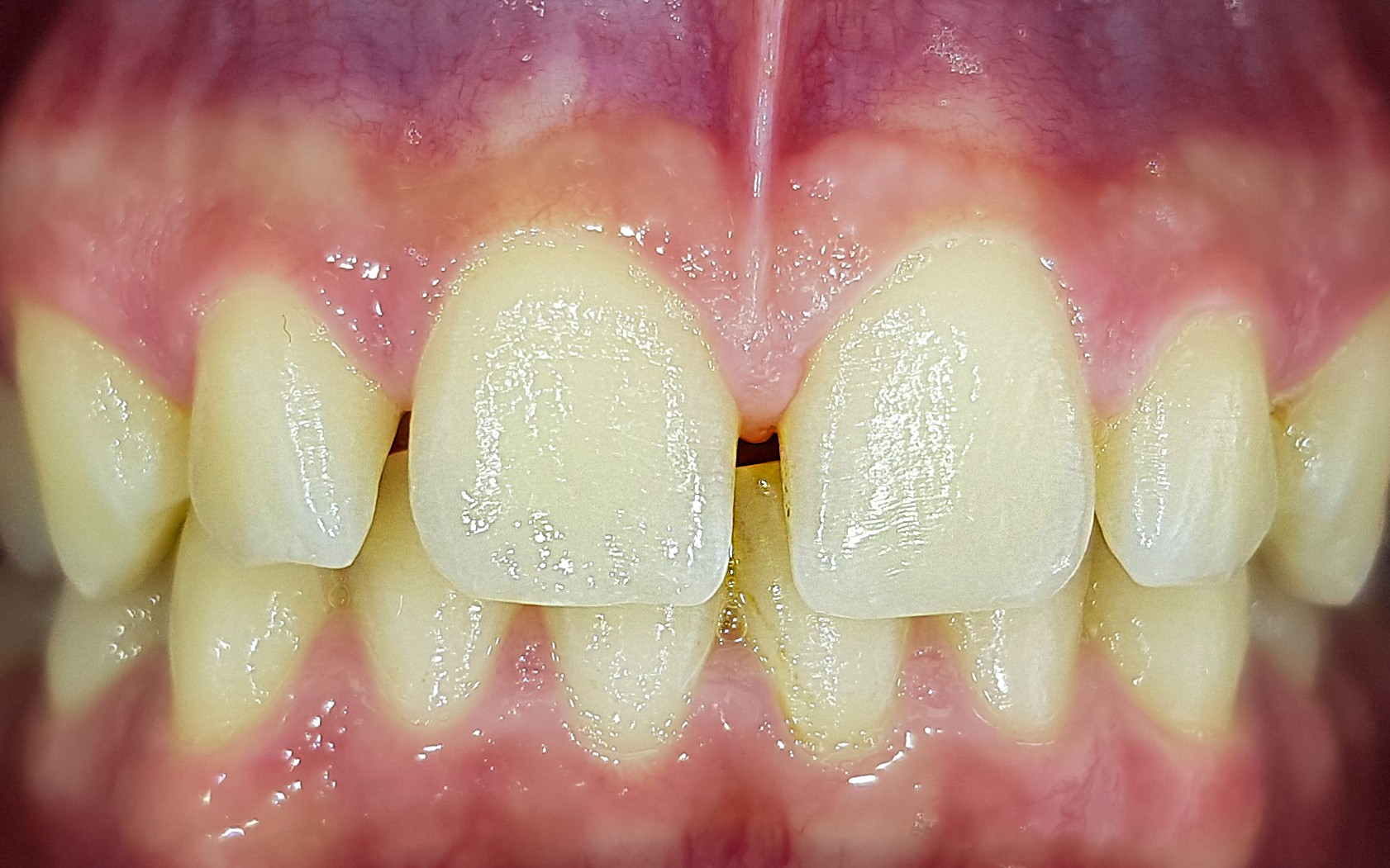
שיניים טבעיות נוטות לגוונים צהבהבים, אפורים או חומים, וזה תוצאה של שילוב גורמים: גנטיקה, תזונה, שתייה (כמו קפה, תה וקולה), עישון והרגלי צחצוח. עם הזמן, גם השיניים הלבנות ביותר מאבדות את הברק שלהן. הלבנת שיניים מספקת פתרון פשוט ויעיל לבעיה זו.
3 הטכניקות להלבנת שיניים במרפאת ד”ר גלעד פיסקוס
1. הלבנת שיניים מהירה בתדר אור כפול
מדובר בטיפול שמספק תוצאות מיידיות: תוך שעה אחת בלבד יוצאים עם חיוך לבן וזוהר. הטיפול מתאים במיוחד לאנשים שמתכוננים לאירועים חשובים כמו חתונות, מסיבות או פגישות עסקיות.עם זאת, ההלבנה המהירה מחזיקה רק למספר שבועות, ולכן היא אידיאלית כפתרון קצר-טווח.
מחיר: 2,400 ש”ח.
קראו עוד על השיטה להלבנת שיניים מהירה כאן <<<
בדרך לחתונה עוצרים אצל ד״ר גלעד פיסקוס להלבנה מהירה
2. הלבנת שיניים עמוקה בפיתוח בלעדי !! של ד”ר גלעד פיסקוס
הטכניקה הייחודית הזו מיועדת להסרת הכתמים הקשים ביותר ולשמירה על לובן השיניים לטווח הארוך. ד”ר פיסקוס מבצע סריקה דיגיטלית מדויקת של השיניים ומכין סדים אישיים באמצעות טכנולוגיה מתקדמת במעבדה מקצועית.יתרון מרכזי של שיטה זו הוא היכולת לשמר את תוצאות ההלבנה למשך חיים שלמים – כל עוד המטופל שומר על הסדים ומתחזק את ההלבנה אחת לכמה חודשים.
יתרונות בולטים:
- השיניים שומרות על מראה טבעי ולבן באופן אחיד.
- ההלבנה אינה פוגעת באמייל השן.
- מתאימה גם לאנשים ששותים קפה, תה או יין, ואף למעשנים.
- ההלבנה לא פוגעת בחניכיים וכך אין כאבים. מכיוון שיש בסד סטופר וכך אין זליגה של חומר לחניכיים . מעולה לאנשים שסובלים מרגישויות בחניכיים .
- הסד קשיח כך שאין לו בלאי ומחזיק לכל החיים.
מחיר הלבנת שיניים – הלבנת שיניים ביתית, מחיר ערכת הלבנת שיניים מקצועית פיתוח בלעדי של ד״ר גלעד פיסקוס – 2 סדים קשיחים לסת עליונה לסת תחתונה ו 3 המזרקים 16, 22,34 עם הדרכה אישית של ד״ר גלעד פיסקוס על ציחצוח נכון ושימוש בסדים . מחיר הלבנת השיניים ב-3,400 ש”ח
קראו עוד על הלבנת שיניים עמוקה – השיטה הייחודית של ד"ר פיסקוס <<<
הלבנת שיניים עמוקה ואחידה כנסו לוידיאו ???? ד״ר גלעד פיסקוס מראה ומסביר
הלבנת שיניים לכל החיים פיתוח בלעדי של ד״ר גלעד פיסקוס מתוך תוכנית הטלוויזיה ביוטי בלנדר
3. שילוב של שתי השיטות להלבנת שיניים
למי שמחפש תוצאה מיידית יחד עם פתרון לטווח הארוך, מוצע שילוב ייחודי של שתי השיטות.
במהלך שעה אחת בלבד המטופל עובר את ההלבנה המהירה (הלבנה באמצעות אור) ויוצא עם שיניים לבנות.
במקביל נכין עבורו סד אישי להלבנה עמוקה ולתחזוקה ביתית. כל ההלבנה תשמר לו לכל החיים.
מחיר מיוחד: 3,900 ש”ח.
לגלריית טיפולים
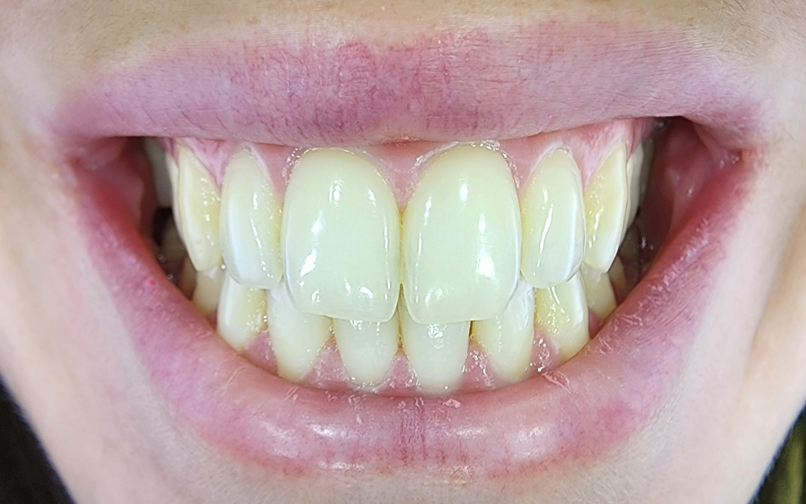
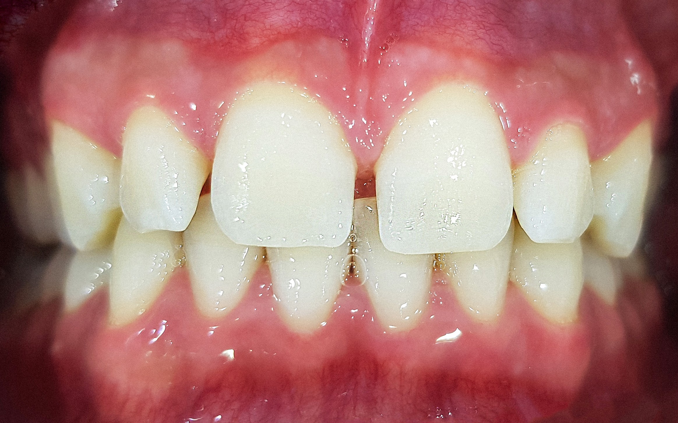
הצגת מקרה – הלבנת שיניים




