טיפול בפגמנטציה בחניכיים
עמוד הבית » חניכיים שחורות – טיפול בפיגמנטציה בחניכיים
35 שנות ניסיון
מרפאה חדשנית
מאות חיוכים מרוצים
חניכיים שחורות - גורמים ופתרונות
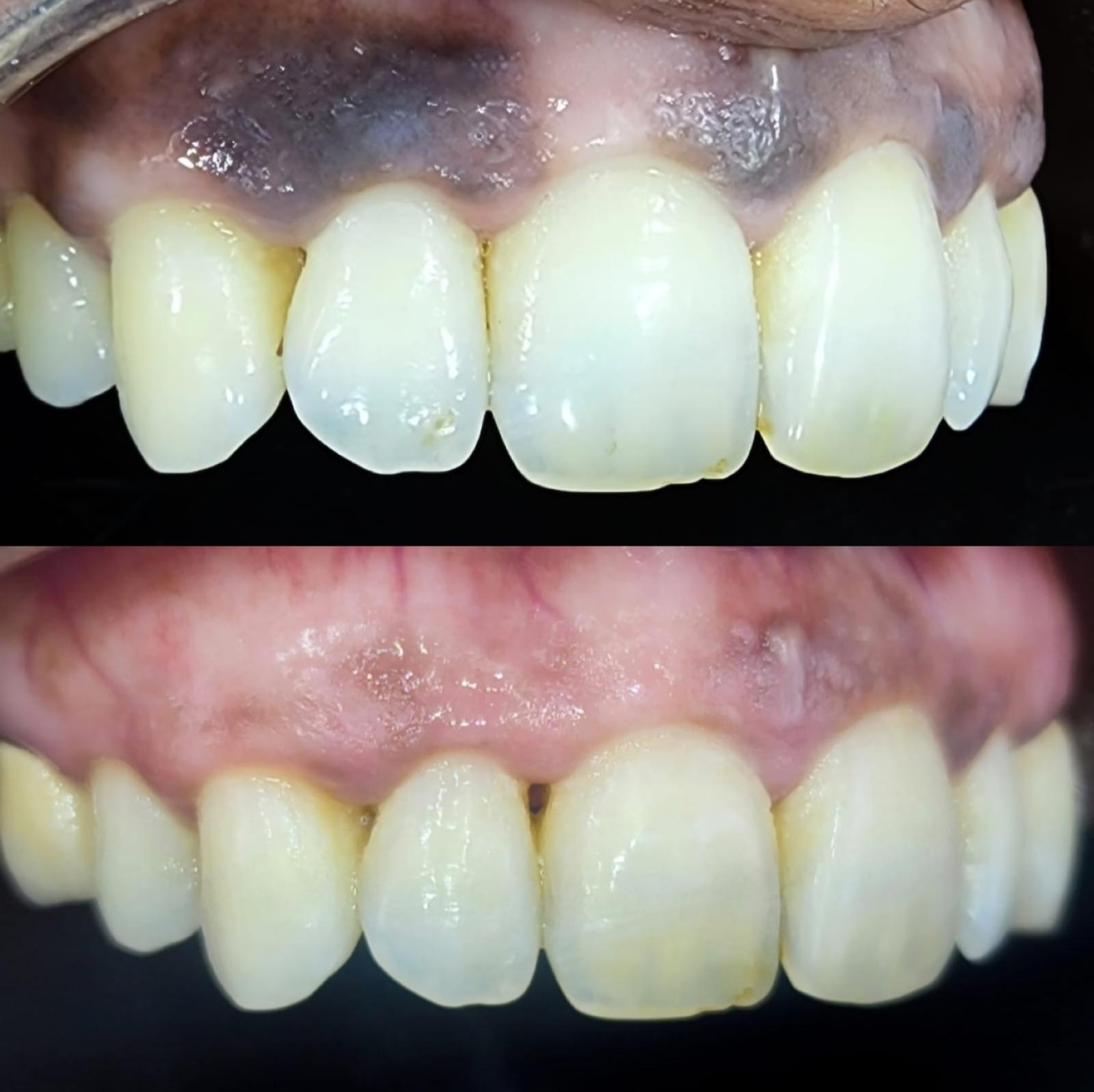
פיגמנטציה בחניכיים היא תופעה הנגרמת בדרך כלל מהצטברות של פיגמנט מלנין ברקמות החניכיים. פיגמנט המלנין נמצא באופן טבעי בעור, בשיער ובחניכיים, במיוחד אצל אנשים בעלי גוון עור כהה יותר, ולכן המצב נפוץ בעיקר בקרב אוכלוסיות אלו. למרות שהפיגמנטציה בחניכיים אינה מהווה סכנה בריאותית, היא עלולה להשפיע על הביטחון העצמי ועל האסתטיקה של הפה והחיוך.
למזלנו, קיימת כיום שיטה יעילה לטיפול בבעיה זו, שפותחה על ידי ד"ר גלעד פיסקוס.
הטיפול מהיר, נטול כאבים, ומאפשר למטופלים ליהנות מתוצאה מיידית של חניכיים ורודות ויפות. זמן הטיפול אורך כ-15 דקות בלבד, וההחלמה מהירה וללא תופעות לוואי.
מיקרו-כירורגיה להסרת פיגמנטציה מהחניכיים
המיקרו-כירורגיה היא תהליך עדין וממוקד להסרת פיגמנטציה מהחניכיים. מדובר בפרוצדורה הדורשת מיומנות וניסיון רב, ולכן חשוב שתבוצע על ידי מומחה בתחום כמו ד"ר גלעד פיסקוס. תהליך זה נחשב לא רק לבטוח ואפקטיבי אלא גם לפתרון אסתטי, במיוחד כאשר מדובר בפיגמנטציה עמוקה או נרחבת .
גם אני רוצה חיוך יפה!
תהליך טיפול בחניכיים שחורות
הכנה לפני הטיפול
בדיקה מקדימה: לפני ביצוע ההליך, הרופא מבצע בדיקה יסודית של מצב החניכיים, להערכת עומק הפיגמנטציה והיקפה.
תכנון ההליך: במהלך הפגישה הראשונית, ד"ר פיסקוס יסביר את התהליך לפרטי פרטים, יענה על כל שאלה ויספק למטופל את כל המידע הדרוש להכנה להליך.
ההליך הכירורגי
אלחוש מקומי: ההליך מתחיל בהרדמה מקומית של האזור המטופל, על מנת להבטיח שהמטופל לא יחוש כאב במהלך הטיפול.
הסרת רקמת החניכיים הפיגמנטית: בשלב זה, הרופא משתמש בכלים כירורגיים עדינים ביותר להסרת שכבה דקה של רקמת החניכיים שבה מצוי הפיגמנט המלניני. התהליך דורש דיוק רב כדי למנוע פגיעה ברקמות הבריאות שסביב האזור המטופל.
עיצוב מחדש של החניכיים: במידת הצורך, ד"ר פיסקוס עשוי לעצב מחדש את קווי החניכיים כדי להשיג מראה אחיד, אסתטי והרמוני יותר.
שלב ההתאוששות
החלמה מהירה וללא סיכונים: זמן ההחלמה לאחר הטיפול קצר מאוד, ולרוב אינו מלווה בתופעות לוואי.
תוצאה מיידית: מיד לאחר הטיפול, ניתן לראות את השינוי – החניכיים הופכות ורודות, אסתטיות ונטולות פיגמנטציה שחורה.
להחזיר את הברק לחיוך ״– טיפול מהפכני להבהרת חניכיים כהות בשיטה של ד”ר גלעד פיסקוס :
בהסתמך על ניסיון של מעל 30 שנה, ד”ר גלעד פיסקוס פיתח שיטה ייחודית להבהרת חניכיים כהות – ללא כאב, ללא תחושת אי נוחות, עם תוצאות שנשמרות לשנים!
✔️ תוצאה מיידית – רואים חניכיים ורודות ובריאות כבר מהטיפול הראשון!
✔️ החניכיים מחזירות אור ורעננות לפנים – מראה חיוני ואסתטי שמשדרג את החיוך.
✔️ טיפול לא מורגש ולא כואב – חוויית טיפול נוחה וידידותית.
✔️ זמן החלמה מהיר – ניתן לחזור מידית לשגרה.
✔️ התוצאה מחזיקה לשנים רבות – שיפור ארוך טווח ללא צורך בתחזוקה מתמשכת.
✔️ עלות משתלמת ביחס לתמורה – מחיר החל מ-1,950 ש”ח לכל קטע טיפולי.
✔️ הביטחון חוזר במיידי – לא מפסיקים לחייך!
השיטה הייחודית של ד”ר פיסקוס מעניקה תוצאות מושלמות תוך זמן קצר – הגיע הזמן שתיהנו מחיוך מושלם!
🔗 לפרטים נוספים ולקביעת פגישה:
👈לחצו כאן
הבהרת פיגמנטציה בחניכיים שיטה מהפכנית של ד״ר גלעד פיסקוס
טיפול מהפכני להבהרת חניכיים שחורות בשיטה של דר' גלעד פיסקוס.
עוד קצת מדוקטור פיסקוס
אודות דוקטור פיסקוס
ד”ר גלעד פיסקוס הינו בוגר הפקולטה לרפואת שיניים של האוניברסיטה העברית הדסה ירושלים, משנת 1989. את התואר הראשון במדעי הרפואה סיים בהצטיינות ועל עבודת הגמר לתואר ד”ר ברפואת שיניים זכה בציון לשבח. הוא חבר בהסתדרות לרפואת שיניים, ועובד במרפאתו הפרטית בראשון לציון.
ד”ר גלעד עוסק בכל תחומי רפואת השיניים הכללית בדגש עיקרי על אמנות האסתטיקה הדנטלית. במשך יותר מ 30 שנה מאז סיים את לימודיו, הוא השתתף בעשרות כנסים בארץ ובחו”ל.
ביניהם כנסים רבים של האקדמיה האירופית לאסתטיקה דנטלית EAED , השתלמות בבניית שיניים קדמיות אצל פרופסור Lorenzo Vanini בצפון איטליה, ולימודי המשך בחברת השתלים Zimmer משוויץ. בשנת 2009 ד”ר גלעד נבחר יחד עם עוד 3 קולגות להשתתף בהשתלמות השנתית הראשונה לאסתטיקה דנטלית, שנפתחה בהדסה עין כרם.
שאלות ותשובות
איך עושים טיפול שיניים
איך עושים טיפול שיניים
איך עושים טיפול שיניים
טיפולים נוספים

גשר לשיניים

גשר לשיניים

גשר לשיניים

גשר לשיניים
אודות דוקטור פיסקוס
ד”ר גלעד פיסקוס הינו בוגר הפקולטה לרפואת שיניים של האוניברסיטה העברית הדסה ירושלים, משנת 1989. את התואר הראשון במדעי הרפואה סיים בהצטיינות ועל עבודת הגמר לתואר ד”ר ברפואת שיניים זכה בציון לשבח. הוא חבר בהסתדרות לרפואת שיניים, ועובד במרפאתו הפרטית בראשון לציון.
ד”ר גלעד עוסק בכל תחומי רפואת השיניים הכללית בדגש עיקרי על אמנות האסתטיקה הדנטלית. במשך יותר מ 30 שנה מאז סיים את לימודיו, הוא השתתף בעשרות כנסים בארץ ובחו”ל.
ביניהם כנסים רבים של האקדמיה האירופית לאסתטיקה דנטלית EAED , השתלמות בבניית שיניים קדמיות אצל פרופסור Lorenzo Vanini בצפון איטליה, ולימודי המשך בחברת השתלים Zimmer משוויץ. בשנת 2009 ד”ר גלעד נבחר יחד עם עוד 3 קולגות להשתתף בהשתלמות השנתית הראשונה לאסתטיקה דנטלית, שנפתחה בהדסה עין כרם