האתגר המרכזי – מה זה ציפוי זירקוניה?
כתר זירקוניה מתאים למצבים בהם נעשה טיפול שורש וכשכמות השן שנותרה קטנה והכותרת חלשה. הטיפול נעשה כדי לאפשר לנו ליהנות מחלל פה בריא ואסתטי, אך בסופו של דבר, ללא הנחת הכתר, לא נוכל לחיות בשגרה בריאה ונינוחה. הכתר מאפשר לנו לשמור על תוצאות הטיפול ובו זמנית ליהנות ממראה אסתטי מרשים. המטרה של הטיפול הוא להתאים את הכתר כך שיראה טבעי ושלא יבחינו בו. לשם כך הוא יותאם בדיוק מושלם למקום ולצבע של השיניים. הוא לא יכול להיות בהיר או כהה אלא ההתאמה תתבצע באופן אישי. לאחר שהטיפול יושלם בהצלחה, נוכל ללכת בחיוך מלא, מאושרים, בלי שאיש ידע כי עברנו טיפול שיניים או שהניחו לנו כתר או כתרים.כתרים ללא מתכת – זירקוניה ואימקס
חלק מהשיניים שעברו טיפולי שורש צריכים לקבל כיסוי של כתר המשחזר את השן המקורית. הסיבה העיקרית בשיניים אחוריות היא הגנה של השן מפני שבר ושיחזור צורתו הטבעית כדי שיוכל לתפקד.
בשיניים קידמיות חלק מהשיניים שעברו טיפול שורש משנות את גוון השן ומאפירות והכתר נועד לתקן את הפגם האסתטי.
האתגר המרכזי הוא להתאים כתר שייראה טבעי ולמעשה שלא יוכלו להבחין בו. הטכנולוגיה המתקדמת מאפשרת לנו כיום להשתמש בכתרים ללא מתכת מסוג זרקוניה או E- MAX ולהתאימם בדיוק מירבי כך שהן נראות כשיניים טבעיות לחלוטין.
כתר זירקוניה
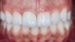
כתרי זירקוניה הם אפשרות פופולרית ועמידה ביותר לשיקום שיניים והם הפכו לאחד הפתרונות היותר בולטים כיום בכל הקשור לאסתטיקה דנטלית. כתרים אלו עשויים מזרקוניום דו חמצני, חומר קרמי תואם ביולוגי וחזק להפליא המחקה באופן הדוק את מראה השיניים הטבעיות. כתרי זירקוניה ידועים בחוזק יוצא הדופן שלהם, מה שהופך אותם למתאימים הן לשיניים הקדמיות והן האחוריות. הם מציעים עמידות רבה בפני שחיקה ושברים, מה שמבטיח תוצאות ארוכות טווח. בנוסף, כתרי זירקוניה הם אסתטיים, שכן ניתן להתאים אותם לשיניים הטבעיות של המטופל, ומספקים חיוך יפה וטבעי למראה הכללי. התאימות הביולוגית שלהם ממזערת את הסיכון לתגובות אלרגיות או רגישות, מה שהופך אותם לבחירה אמינה במקרים שונים, כולל במקרים בהם יש צורך בכתרים בודדים וגשרים.
המאפיינים הבולטים של כתר זירקוניה – בהרחבה
כתרי זירקוניה הם סוג של כתרי שיניים שצבר פופולריות בזכות החוזק המדהים שלו, העמידות והמשיכה האסתטית שלו. הנה המאפיינים הבולטים של כתרים אלה:
- הרכב החומר – כתר זירקוניה עשוי מזרקוניום דו חמצני, חומר קרמי הידוע בהתאמה הביולוגית ובחוזקו. זירקוניה הינו חומר גבישי שניתן להתאים בצבע לשיניו הטבעיות של המטופל, מה שמבטיח מראה טבעי ומושך.
- עמידות וחוזק – כתר זירקוניה חזק ועמיד במיוחד, מה שהופך אותו מתאים לשימוש גם בשיניים קדמיות וגם באחוריות. כתרים אלה עמידים מאוד בפני שחיקה, סדקים ושברים, ומספקים תוצאות לאורך זמן.
- משיכה אסתטית – כתרי זירקוניה מציעים מראה אסתטי נפלא בגלל יכולתם לחקות את השקיפות והגוון של השיניים הטבעיות. הצבע והמראה של הזירקוניה תואמים היטב את השיניים הקיימות של המטופל, ויוצרים חיוך חלק וטבעי למראה.
- תאימות ביולוגית – חומר זה הוא תואם ביולוגית, כלומר הוא נקלט היטב על ידי הגוף ויש לו סיכון נמוך לגרום לתגובות אלרגיות או רגישות.
- דיוק והתאמה אישית – כתרי זירקוניה ניתנים לעיצוב ולייצור בעבודת יד, מה שמבטיח איכות גבוהה במיוחד והתאמה אישית של צורת וגודל הכתר כדי לענות על צרכי השיניים הספציפיים של המטופל.
- מענה למגוון של צרכים – ניתן להשתמש בכתרי זירקוניה למגוון מצבים הקשורים בשיקום שיניים, לרבות שימוש בכתרים בודדים, בגשרים דנטליים, ואפילו שחזורים הנתמכים בשתל.
- הסרת שיניים מינימלית – בהשוואה לחומרי כתרים אחרים, כתר זירקוניה דורש לרוב פגיעה והסרה מופחתת של השן, מה שעוזר לשמר את שלמות השן הטבעית.
- רגישות מופחתת – כתרי זירקוניה נוטים פחות להעביר שינויי טמפרטורה ממזון ומשקאות חמים או קרים לשן הבסיסית, מה שמפחית את הרגישות.
- אריכות ימים – עם טיפול ותחזוקה נאותים, כתר זירקוניה יכול להחזיק מעמד שנים רבות, ולספק מענה עמיד ופונקציונלי. כדי לשמור על אורך החיים של כתרי זירקוניה, על המטופלים לתרגל היגיינת פה טובה, כולל צחצוח קבוע, שימוש בחוט דנטלי ובדיקות שיניים תכופתיות. הימנעות מהרגלים כמו חריקת שיניים (ברוקסיזם) והימנעות מנשיכה בחפצים קשים יכולה גם היא לעזור להאריך את חיי הכתר.
מהם ההבדלים בין כתר זירקוניה לכתר חרסינה
כתרי זירקוניה וכתרי חרסינה הם שתי אפשרויות פופולריות לכתרי שיניים, כל אחת עם המאפיינים והיתרונות הייחודיים שלה. הנה ההבדלים העיקריים בין שני הכתרים הללו:
הרכב החומר:
כתרי זירקוניה עשויים, כאמור, מזרקוניום דו חמצני, חומר קרמי הידוע בחוזקו ובעמידותו יוצאי הדופן. זירקוניה הוא חומר לבן ואטום. כתרי חרסינה, לעומת זאת, עשויים בדרך כלל מסוגים שונים של חרסינה דנטלית. כתרי חרסינה ידועים בשקיפותם הטבעית ובמראה החיים.
חוזק ועמידות:
כתרי זירקוניה ידועים בחוזקם ועמידותם בפני בלאי, סדקים ושברים. הם מתאימים במיוחד לשיניים אחוריות, בהן כוח הנשיכה חזק יותר. בעוד שכתרי חרסינה עמידים גם כן, הם עלולים להיות מועדים יותר לבלאי ושבבים בהשוואה לכתרי זירקוניה. לרוב הם מועדפים עבור שיניים קדמיות בשל האיכויות האסתטיות שלהן.
מראה אסתטי:
כתרי זירקוניה הם חזקים ועמידים אך עשויים להיות בעלי מראה מעט אטום בהשוואה לשיניים טבעיות. הם פחות שקופים מפורצלן, מה שעלול להשפיע על האסתטיקה שלהם, במיוחד באזורים בולטים לעין. כתרי חרסינה, לעומתם, מחקים מקרוב את השקיפות והגוון של השיניים הטבעיות, ומספקים מראה אסתטי ודומה מאוד לשן הטבעית. הם בחירה מצוינת עבור השיניים הקדמיות.
הכנת השיניים:
כתרי זירקוניה עשויים לדרוש מעט יותר הסרת מבנה שיניים בהשוואה לכתרי חרסינה בשל חוזקם ועוביים. כתרי חרסינה דורשים לרוב פחות צמצום שיניים, מה שמאפשר הכנה שמרנית יותר.
תאימות ביולוגית:
זירקוניה הוא חומר תואם ביולוגי, כלומר הוא נסבל היטב על ידי הגוף ויש לו סיכון נמוך לגרום לתגובות אלרגיות או רגישות. חרסינה גם תואמת ביולוגית ומתאימה לרוב המטופלים.
מענה כולל:
כתר זירקוניה יכול לשמש גם לשיניים קדמיות וגם לשיניים אחוריות ומתאים לשחזורי שיניים שונים, לרבות כתרים בודדים וגשרים. כתרי חרסינה הם רב תכליתיים ולעתים קרובות מועדפים עבור שיניים קדמיות, שבהן האסתטיקה היא מכרעת. הם משמשים גם עבור כתרים בודדים וגשרים.
שקיפות:
כתרי זירקוניה הם פחות שקופים מחרסינה, מה שיכול להשפיע על יכולתם לחקות באופן מושלם את מראה השן הטבעית. כתרי חרסינה, לעומת זירקוניה, מצטיינים בחיקוי שיניים טבעיות הודות לשקיפותם הגבוהה.
רגישות לאחר טיפול:
כתרי זירקוניה נוטים פחות להעביר שינויי טמפרטורה ממזון ומשקאות חמים או קרים לשן הבסיסית, מה שמפחית את הרגישות שלאחר הטיפול. כתרי חרסינה עשויים להיות בעלי סיכון מעט גבוה יותר לרגישות לאחר הטיפול בשל יכולתם לנהל שינויי טמפרטורה.
ובשורה התחתונה, הבחירה בין כתרי זירקוניה לבין כתרי חרסינה תלויה בגורמים כמו מיקום השן, התוצאה האסתטית הרצויה וצרכיו הספציפיים של המטופל. רופא השיניים שלכם ישקול את הגורמים הללו וידון ביתרונות ובחסרונות של כל חומר כדי לעזור לכם לקבל החלטה מושכלת לשיקום השיניים שלכם.
למי מתאים כתר זירקוניה ולמי לא
כתר זירקוניה הוא אופציה מצוינת לשיקום שיניים, והוא עשוי להיות מתאים למטופלים רבים. עם זאת, ישנם שיקולים מסוימים שיש לבחון כדי לקבוע מי מועמד טוב לכתר זירקוניה ומי עשוי לא להתאים:
מועמדים מתאימים לכתרי זירקוניה:
מטופלים הזקוקים לשחזורים חזקים ועמידים: כתרי זירקוניה הם בחירה מצוינת עבור אנשים הזקוקים לשיקום שיניים חזק ועמיד, במיוחד עבור שיניים אחוריות הסובלות מכוח נשיכה חזק יותר.
מטופלים עם ברוקסיזם (חריקת שיניים): כתרי זירקוניה עמידים מאוד בפני שחיקה ושברים, מה שהופך אותם למתאימים לאנשים שחורקים או נועלים שיניים וזקוקים לשיקום שיכול לעמוד בכוחות הקשורים להרגל זה.
מטופלים המחפשים שיקום אסתטי: בעוד שכתרי זירקוניה עשויים להיות מעט פחות שקופים מחרסינה, הם יכולים לספק תוצאה אסתטית, במיוחד עבור שיניים אחוריות. הם מתאימים גם לשיניים קדמיות כאשר האסתטיקה פחות קריטית.
מטופלים עם אלרגיות או רגישות למתכות: זירקוניה הוא חומר תואם ביולוגי, מה שהופך אותו לבחירה מצוינת עבור אנשים שעלולים לסבול מאלרגיות למתכות או רגישות לחומרי כתר אחרים.
מטופלים עם מבנה שיניים מספיק: כתרי זירקוניה דורשים הסרת מבנה שיניים להתאמה נכונה. מטופלים עם מבנה שיניים בריא מספיק כדי לתמוך בכתר הם מועמדים מתאימים.
מטופלים עם רצון לשחזורים ארוכי טווח: כתרי זירקוניה הם בעלי מוניטין של אורך חיים ועמידות בפני שחיקה ונזקים, מה שהופך אותם למתאימים לאנשים המחפשים פתרון שיניים עמיד.
מועמדים שאולי לא יהיו מתאימים עבור כתרי זירקוניה:
מטופלים עם תקציב מוגבל: כתר זירקוניה נוטה להיות יקר יותר מחומרי כתרים אחרים, כך שלמטופלים עם מגבלות תקציב כדאי לבחון אפשרויות חלופיות.
מטופלים עם העדפות אסתטיות ספציפיות: בעוד שכתרי זירקוניה מציעים אסתטיקה טובה, מטופלים עם העדפות אסתטיות מאוד ספציפיות, במיוחד עבור שיניים קדמיות, עשויים לבחור בכתרי חרסינה הידועים בשקיפות שלהם.
מטופלים עם מבנה שיניים מינימלי: כתרי זירקוניה דורשים בדרך כלל הפחתת שיניים מסוימת לצורך התאמה נכונה. מטופלים עם מבנה שיניים מינימלי שנותר עשויים להיות מתאימים יותר לאפשרויות שמרניות יותר.
מטופלים עם בעיות נשיכה ספציפיות: במקרים שבהם למטופלים יש בעיות ספציפיות של נשיכה או חסימה שגויה הדורשים התאמות מדויקות, ניתן להמליץ על חומרי כתר או טיפולים חלופיים.
רוצים ליהנות מהיתרונות הרבים שמביא אתו כתר זירקוניה?
המרכז לעיצוב החיוך של ד"ר גלעד פיסקוס הוא המקום הנכון לפנות אליו. המרכז מציע לכם מענה מקצועי, אמין ושירותי מאד, והתאמה מדויקת של הטיפול, הכתר וכל מה שקשור בכך. במרכז לעיצוב החיוך תקבלו פתרונות מותאמים, המתבססים על הפיתוחים הטכנולוגיים החדישים ביותר ושיטות הטיפול העומדות בסטנדרטיים הגבוהים ביותר. הכתרים מיוצרים בעבודת יד ומבטיחים איכות גבוהה ומראה טבעי ככל שניתן. לשאלות בכל עניין וקבלת מידע נוסף אודות כתרי זירקוניה וטיפולים אחרים, אתם מוזמנים ליצור עמנו קשר בטלפון 03-9679992. נשמח לעמוד לרשותכם.






