שיניים כלואות - כך תזהו ותטפלו בהן ביעילות ובקלות
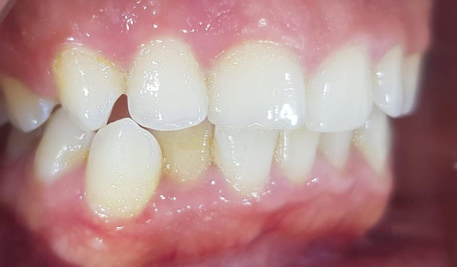
שיניים כלואות הן תופעה שבה שן אחת או יותר לא מצליחה לבקוע במלואה דרך החניכיים. תופעה זו שכיחה בעיקר בשיני בינה וניבים, אך יכולה להתרחש בכל שן בלסת. שיניים כלואות עלולות לגרום לכאב, לדלקות ולבעיות אסתטיות. למרבה המזל, קיימים מגוון פתרונות רפואיים, בהם טיפולים אורתודונטיים וכירורגיים, וכמובן, טיפולים אסתטיים כמו ציפויי חרסינה.
מה גורם לשיניים כלואות?
שן כלואה מתפתחת כאשר השן אינה מצליחה למצוא את דרכה החוצה מהחניכיים. ישנם מספר גורמים עיקריים לתופעה זו:
1.חוסר מקום בלסת: לעיתים הלסת קטנה מדי, ואין מקום לכל השיניים לבקוע בצורה תקינה.
2.זווית צמיחה לא נכונה: השן יכולה לצמוח בזווית בעייתית שגורמת לה להיתקע בתוך העצם או החניכיים.
3.מחסומים פיזיים: שיניים סמוכות, עצמות או רקמת חניכיים צפופה יכולים למנוע מהשן לבקוע.
4.גנטיקה: נטייה לשיניים כלואות יכולה לעבור בתורשה, בעיקר כאשר מבנה הלסת צפוף או השיניים גדולות יחסית.

תסמינים של שיניים כלואות
תסמינים של שיניים כלואות יכולים להשתנות בהתאם למיקום השן ומידת הכליאה שלה. עם זאת, תופעות נפוצות כוללות:
- כאב ולחץ באזור השן הכלואה.
- נפיחות או דלקת בחניכיים.
- ריח רע מהפה כתוצאה מהצטברות חיידקים באזור הכלוא.
- קושי בפתיחת הפה.
- שיניים עקומות או צפיפות בלסת כתוצאה מלחץ של השן הכלואה על שאר השיניים.

פתרונות לטיפול בשיניים כלואות:
1. טיפול אורתודונטי
כאשר השן הכלואה חיונית לתפקוד ואסתטיקה, רופא אורתודונט עשוי להמליץ על יישור שיניים באמצעות סמכים או קשתיות שקופות, במטרה לשחרר את השן הכלואה ולעזור לה לבקוע.
2. כירורגיה
במקרים בהם השן הכלואה גורמת לכאב, דלקות או סיבוכים אחרים, ייתכן שיהיה צורך בהליך כירורגי להוצאת השן הכלואה.
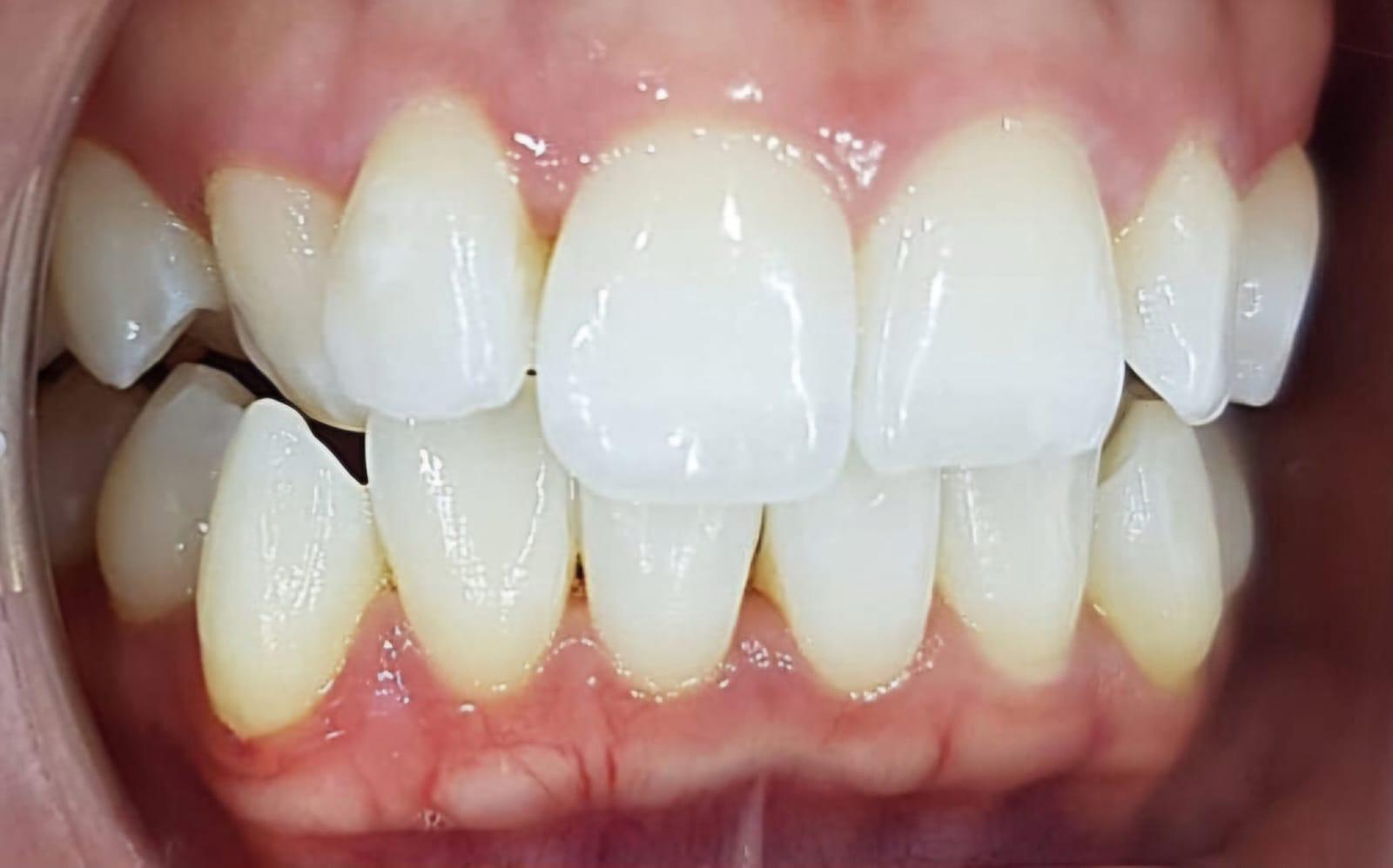
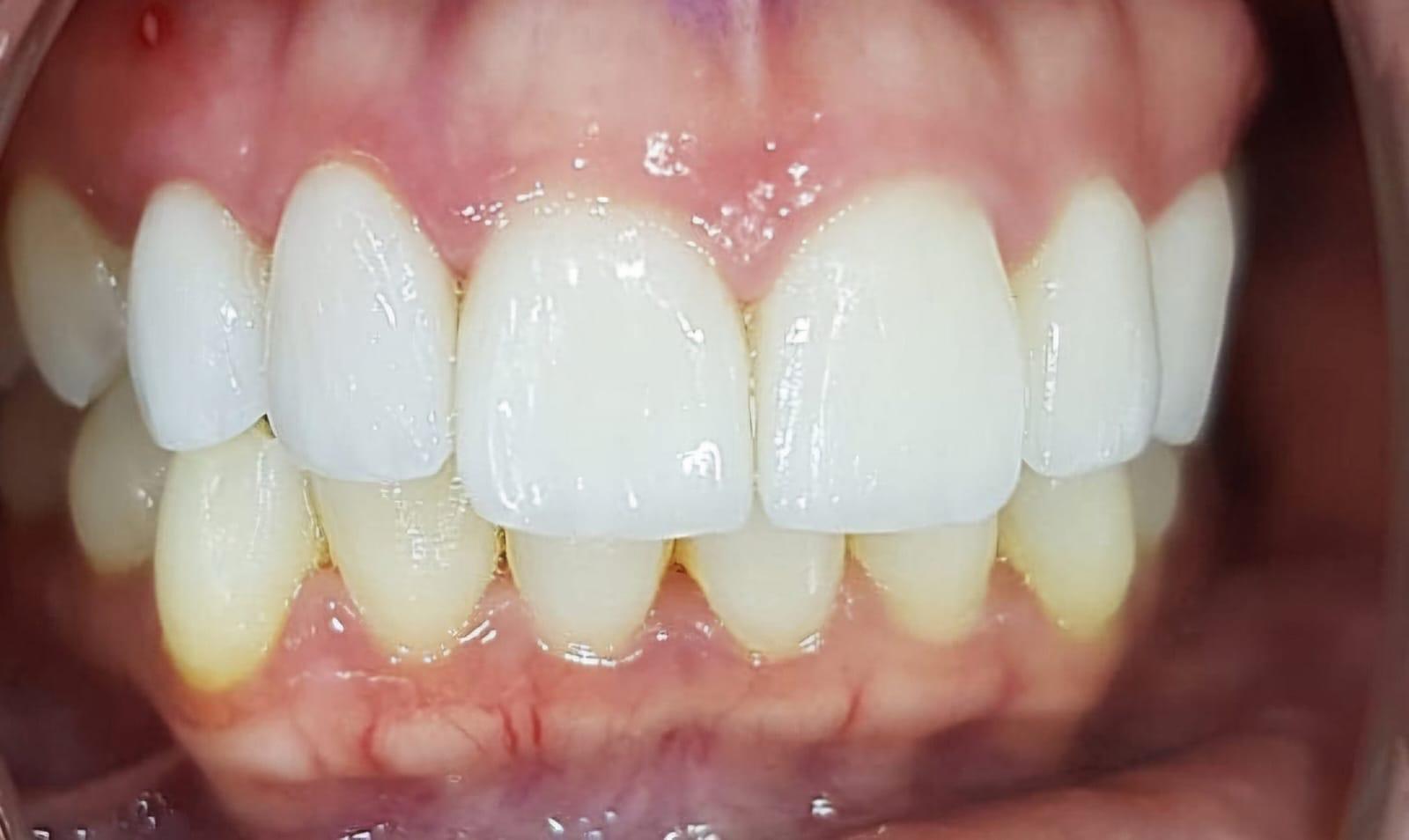
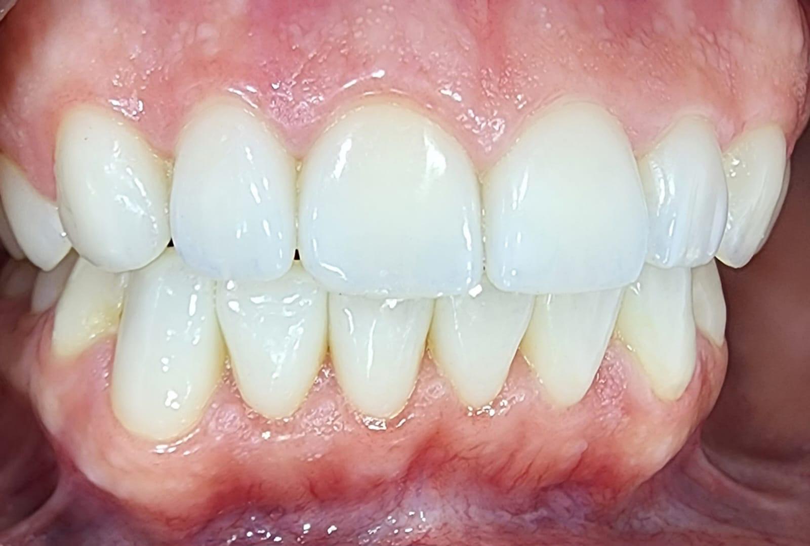
3. טיפולים אסתטיים: ציפויי חרסינה
לאחר טיפול בשיניים כלואות, רבים מחפשים לשפר את מראה השיניים באמצעות פתרונות אסתטיים. כאן נכנסים לתמונה ציפויי החרסינה של ד”ר גלעד פיסקוס.

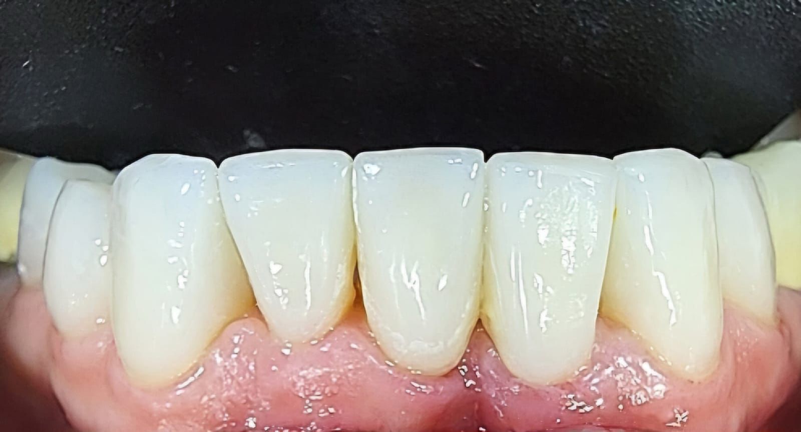
ציפויי חרסינה טבעיים של ד”ר גלעד פיסקוס
ציפויי חרסינה הם פתרון מתקדם לאסתטיקה דנטלית, המספק מראה טבעי ומושלם לשיניים. מדובר בשכבות דקות מאוד של חרסינה המותאמות אישית למבנה השן ומודבקות על החזית החיצונית שלהן.
למי זה מתאים?
ציפויי חרסינה מתאימים למי שמעוניינים בשיפור אסתטי משמעותי של השיניים. הם מספקים מענה לבעיות כמו:
- שיניים מוכתמות שאינן מגיבות להלבנה.
- שיניים עקומות קלות או צפופות.
- שיניים שבורות או סדוקות.
- שיניים עם פערים גדולים ביניהן.

יתרונות ציפויי החרסינה של ד”ר גלעד פיסקוס
- מראה טבעי ומרשים: ציפויי החרסינה מותאמים אישית לגוון השיניים הטבעי, מה שמעניק מראה אסתטי אך לא מלאכותי.
- עמידות גבוהה: חרסינה היא חומר עמיד מאוד בפני שחיקה וכתמים, מה שמבטיח תוצאה לטווח ארוך.
- שימור חומר שן: בטיפול זה נשמר מקסימום חומר השן הטבעי, שכן הציפוי דק במיוחד ואינו מצריך הסרת כמות גדולה של אמייל.
- פתרון מהיר: התהליך נמשך מספר פגישות בלבד, והתוצאה נראית לעין כבר לאחר הטיפול הראשון.
- תהליך ההדבקה של ד״ר גלעד פיסקוס היא דור 4. הדבק החזק בעולם ואפשר לאכול הכל תפוחים , סטייקים בגטים ועוד.
- המעבדה עם הטכנאים שנמצאים במרפאה של ד״ר גלעד פיסקוס
- הציפויים של ד״ר גלעד פיסקוס מחזיקים לשנים רבות מאד.

סיכום
שיניים כלואות הן בעיה רפואית ואסתטית נפוצה, אך באמצעות טיפולים מתקדמים ניתן לטפל בהן בהצלחה. בין אם מדובר בטיפול אורתודונטי, כירורגי או ציפויי חרסינה, הפתרונות הקיימים מאפשרים לשפר הן את הבריאות הדנטלית והן את המראה האסתטי. ציפויי החרסינה של ד”ר גלעד פיסקוס מהווים פתרון מרשים וטבעי למי שמעוניינים לחייך בביטחון.
צפו בד״ר גלעד פיסקוס מסביר מה זה שיניים כלואות ואיך אפשר לפתור את הבעיה